Skip to main content
Scheske Family Dental
Dr. Matt Scheske
Request an Appointment
Like us on Facebook
Leave a Google Review
Instagram
(920) 788-3542
General and Aesthetic Dentistry
607 Wilson St. Little Chute, WI 54140
Pay Online
Home
About
Our Team
Dr. Matthew Scheske
Dr. Brandon Coppersmith
Dr. Taylor McElwee
Technology
Practice Photos
Services
View All
Cosmetic Dentistry
Emergency Dentistry
Crowns and Bridges
Dental Implants
Tooth Extractions
Root Canal Therapy
Clear Aligners
Smile Makeovers
Veneers
Children's Dentistry
Smile Gallery
Membership Plan
Patient Info
View Patient Info
Testimonials
Forms
Financial
FAQs
Blog
Contact
Scheske Family Dental
>
Smile Gallery
>
Clear Aligners
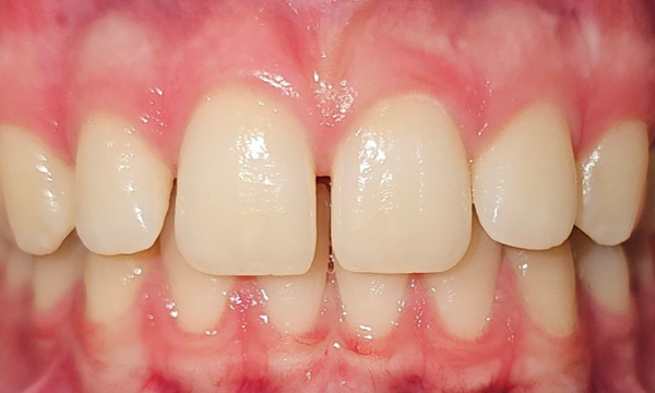
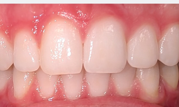
Clear Aligners
Return to Smile Gallery
Previous
Related Services:
Clear Aligners
Drag the arrows back and forth to view complete Before and After views
Ready to Book Your Next Dental Appointment?
Contact Us
OK!
×
×
Contact Us Today
Give Us A Call
Scheske Family Dental -
(920) 788-3542
Send Us an Email
Request an Appointment
Contact Us
Ready to Schedule an Appointment?
Book Now
Have Questions? Contact Us:
Full Name
* (Req)
Phone
Email
* (Req)
Are you a?
New Patient
Current Patient
How would you like us to contact you?
Please choose
Email
Call
How did you hear about us?
Please choose
I'm an existing patient
Google/Bing
Mailer
Word of mouth
Social media
Other
Who Referred You?:
Appointment Preferences
Monday
Tuesday
Wednesday
Thursday
Friday
Additional Comments
This site is protected by reCAPTCHA and the Google
Privacy Policy
and
Terms of Service
apply.
Required Field
Sending...
×
This Patient's Experience
Loading Testimonial...
Loading Case...